JoiiSports
愛運動JoiiStore
虹映嚴選JoiiCare
幸福企業www.joiiup.com
最近在門診中照顧到一位國中田徑選手,他說自己兩側腰部緊繃不適已經超過三個月了。除了挺腰之外,連小跑步都會產生輕中度的疼痛,左、右轉腰的時候也會感覺緊繃不舒服。
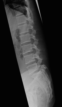
經過基本的評估後,我覺得他除了腰部肌肉僵硬之外,腰部的曲線也不太正常,便讓他照了張X光,結果顯示腰椎的生理曲線確實變得相當平直!於是在經過治療緩解症狀之後,我要小選手務必請家長在下次就診時,一同來醫院了解狀況。

圖片來源:Dr.KP王凱平醫師
腰椎變直代表什麼?為何要這麼謹慎呢?
一般來說,我們的頸椎、胸椎、腰椎都應該有他們自然的生理弧度,在這樣的弧度下,脊椎的生物力學表現是最好的。此時,週邊的軟組織包括韌帶、椎間盤、肌肉都能提供比較好的緩衝與支持,來自外部,尤其跑、跳時由地面傳來的衝擊就比較容易被分散。
相反地,如果腰椎的生理曲線減少或消失了,每一步來自地面的反作用力就容易積聚在腰椎區域而不是被傳導分散,自然就容易造成類似前面案例中「小跑步都會產生腰痛」的狀況。長期下來除了容易反覆腰痛之外,也容易累積、衍生慢性傷害。為了小選手長期的健康,避免他往後因傷所苦,就是我會這麼積極地要求與家長直接溝通說明的原因。

如何察覺自己的腰椎變直?貼牆一站便知!
日常生活中腰痛的患者很多,運動愛好者當中為此所苦的其實也不少,但除了到醫院照X光之外,有沒有簡單的方法自我評估腰椎是否變直呢?當然是有的,其實只要背部靠牆一貼,如果在腰部的位置容不下一顆拳頭,大概就算有點問題了!
一般來說,如果想要進一步了解跟腰椎生理曲線平直的問題,最好的相關搜尋關鍵字可能是「骨盆後傾」。上Google搜索「骨盆後傾」,各位會發現相關的文章並不算多,顯示這可能是個大家都還算比較容易忽略的問題。在這邊我們先簡單點出骨盆後傾的幾個重要特色:本文重點的「腰椎曲線平直」、駝背、扁臀,以及衍生而來的相關症狀如腰酸、腰痛、肩頸僵硬、頭痛……等。相信這些都不會是每位愛運動的型男、美女們想呈現的體態形象,也沒有人想在跑步後反而換來一身疼痛。
腰椎問題不等於骨刺與神經壓迫,肌肉常是關鍵
基本上,腰椎曲線平直以及骨盆後傾是常常伴隨出現的問題,但無論這些問題是否同時出現,所造成的慢性腰痛常常都很讓人困擾,也很容易讓人誤以為自己是否罹患了腰椎的退化性關節炎或椎間盤突出。但其實我總是反覆地強調一個觀念:不要太早就認定自己的腰痛是骨骼或神經問題,肌肉以及其他軟組織才是最常見的兇手!
大家可別不相信,肌肉緊繃所造成的疼痛可以很強烈、可以傳到遠處,讓人誤以為是骨骼或神經所造成的問題,這些在臨床上並非罕見案例。同時,就算一個區域的疼痛同時混雜了肌肉、骨骼、神經的問題,單純解決肌肉的部份時常也能大幅改善症狀。
如何解決?鎖定對的目標,合併運動訓練才是治本良藥!
想要透過讓腰部相關肌肉放鬆來解決「腰椎曲線平直」或「骨盆後傾」的相關問題,針灸、拔罐、按摩或其他徒手治療、各種物理治療、增生療法、藥物……等等可能都有幫助,重點在於治療到「對的」肌肉與軟組織。但個人認為除了手術之外,最治本的方式還是要屬合併運動訓練。下圖就是另一患者訓練前後差異。

圖片來源:Dr.KP王凱平醫師
下面的影片是youtube上針對骨盆後傾的訓練中算滿全面的,若能認真執行,通常也能同時矯正腰椎曲線平直的問題。然而老實說,雖然我個人非常相信若能認真執行這些訓練,2~4週內就有很高的機會感受到效果。但從個人的行醫經驗中來看,有能力、且有毅力靠個人努力成功矯正相關問題的案例還是不算多。因此實務上,仍然比較建議在訓練初期,有專業的訓練人員能夠在旁協助檢視、督促,會是比較有效率的選擇喔!
文章來源:Dr.KP王凱平醫師